El paciente deberá someterse además de una correcta anamnesis primero, a una serie de estudios para un examen ortodóncico rutinario previo al tto, el cual incluye:
-Radiografía panorámica u ortopantomografía: donde valoramos estado radicular y longitud dentaria, presencia de lesiones óseas, dientes retenidos, supernumerarios, agenesias, implantes, etc.
-Teleradiografía lateral de cráneo con estudio cefalométrico de ricketts.
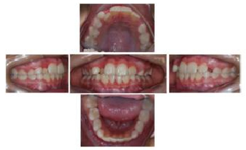
-Fotografía intraorales: de frente en oclusión, perfiles donde se observe la clase molar, canina, y oclusales sup. e inf. Ejemlpos:

-Fotografías extraorales: frente labios en reposo, frente en sonrisa, perfil reposo y medio perfil en sonrisa.

El profesional deberá registrarse generando un usuario y contraseña en nuestra página.
Una vez que ingresan a la plataforma con su usuario y contraseña deberán cargar el paciente con los datos solicitados más fotos intra extraorales rx panorámica rx lateral con estudios cefalometéicos de ricktts.


El ortodoncista CristalSmile aceptará o no el caso.
De ser aprobado se habilitará:
a) el pago pago del tratamiento
b) la posibilidad de subir el escaneo del paciente
Desde el momento en que llega el archivo con el escaneo de ambos maxilares con su registro de mordida entre un lapso de 48 a 72 hábiles se cargará el video con los movimientos dentarios hasta el resultado final en la plataforma del profesional en nuestra página.
Se revisa con el ortodoncista la planificación del paso para cualquier modificación del mismo y una vez aprobado a las 72hs hábiles se terminan los alineadores.
Av Luis Candido Carballo 183 piso 6 ofi 2
S2000 Rosario, Santa Fe, Argentina
Cómo llegar?